Your
Direct Restoratives
Knowledge Hub

Expand your knowledge

#fasterbetterstronger
Our team of experts has curated a collection of resources with actionable insights and practical advice on the direct restorative workflow products. From expert interviews to live and on-demand webinars, we've got you covered when it comes to expanding your knowledge of direct restorations. 
Meet our direct restoratives experts

Stay informed about everything relating to direct restorations and learn more from our direct restorative experts on what is key to ensuring high-quality and long-lasting direct restorations. 

In this insightful video, Dr Mahn shares valuable tips and tricks in dentistry, offering his expertise and practical advice to fellow professionals. Join us as we dive into the world of dentistry with Dr Mahn as your guide.
Explore additional videos with valuable insights within our Vimeo Medialibary.

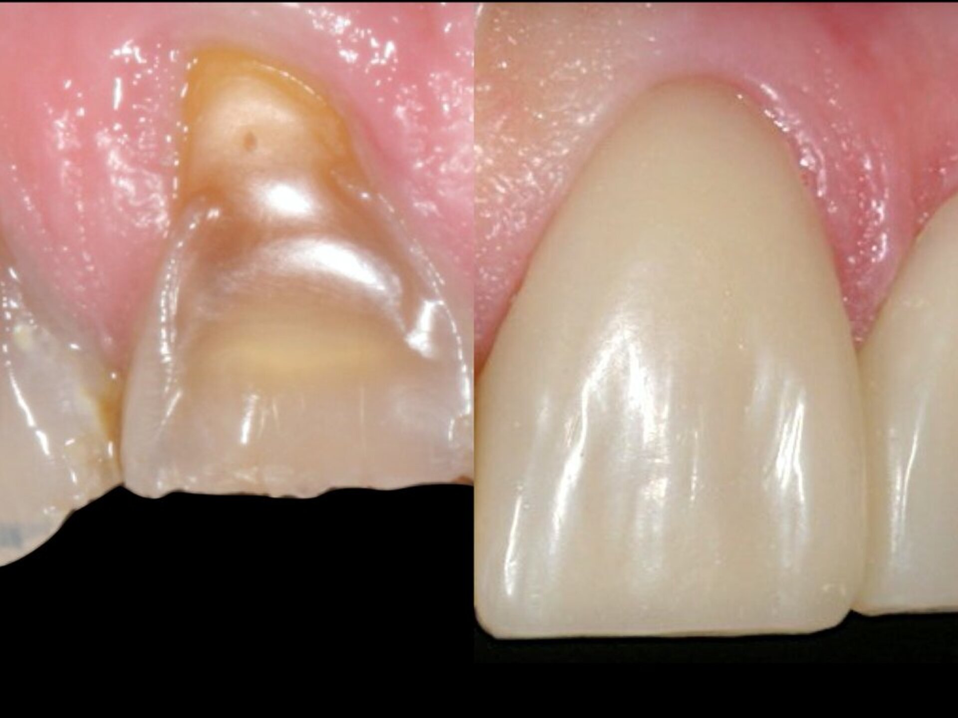
Global clinical cases selection

This collection showcases various clinical cases for direct restorative treatments – from composite polymerization in 3 seconds to the versatile use of lip and cheek retractors for a better patient experience, faster treatments and stronger results. Say goodbye to frustrating, time-consuming procedures and hello to a faster, better, and stronger way of working.  
Direct restorative treatments
Clinical cases
How to use the Ivoclar direct restorative products

Find out more on how to use our direct restorative products. 

On-demand webinars

On-demand webinar
Clinical solutions to optimize posterior composite restorations
This webinar introduces you to new techniques to restore posterior cavities faster and more efficiently. You will learn about latest adhesive bonding techniques, layering vs. bulk filling techniques and fast polymerization.
Watch the webinar here
On-demand webinar
Curing lights – why are they so critical to a successful practice?
In this webinar you will learn why it is so important how the curing light is used, what the downsides are if dental resin materials are under cured, how to double the bond strenght bewtween tooth and resin, why irradiance value alone tells you very little about a curing light and how to optimise your light cured resins.
Watch the webinar here
On-demand webinar
Simple, safe and efficient therapy
In this webinar we will show you how to make the best of your time with using bulk-fill materials. We will give you useful tips for mastering the bulk-fill technique and show you a new approach with the 3s PowerCure products to save valuable treatment time.
Watch the webinar here
On-demand webinar
Achieving aesthetics & longevity with anterior composite resin veneers
In this webinar you will learn how to achieve successful outcomes based on overall aesthetics and durability of direct composite resin bonding and develop a better practical knowledge on the handling of composite resin on resin bonding cases. Furthermore you will gain knowledge on the main problems that arise from delivering direct composite anterior restorations.
Watch the webinar here
On-demand webinar
Efficient esthetics with direct composite restorations
In this webinar, we will show you an efficient way of creating high-quality, esthetic restorations by using direct restorative products that are optimally coordinated with each other.

Read more about direct restoratives on our blog

Good to know
You ask, we answer

A lip and cheek retractor made of soft, flexible material such as OptraGate® is handy for establishing full access to the oral cavity. The lip and cheek retractor is comfortable to wear and adapts to the natural movements of the patient. Because of its elasticity, OptraGate retracts the soft tissues gently and assists patients in keeping their mouth open. In particular, patients experiencing severe tension of the masticatory musculature as a result of e.g. bruxism may feel that the lip and cheek retractor alleviates their pain and helps them to relax. The lip and cheek retractor is therefore a valuable aid for both patient and clinician.

Postoperative sensitivities can have any of a number of causes: They often occur if the dentin tubules and collagen network are exposed because they are not properly covered with adhesive. In these cases, external stimuli may result in movement of fluid within the dentin tubules and cause hypersensitivity. This phenomenon is known as microleakage and can be avoided. One way of preventing it is to use an adhesive (e.g. Adhese Universal) that comprises hydrophilic solvents and methacrylate monomers that can wet and infiltrate the dentin tubules in moist and dry conditions. In addition, the acidic compounds in the dentin precipitate as insoluble calcium salts, facilitating the mechanical blocking and  sealing of the dentin tubules. This integrated "desensitizing effect" prevents the fluid flow within the dentin tubules and reduces the risk of microleakage and postoperative sensitivities. Using the adhesive in conjunction with the self-etch technique may be an additional measure to prevent hypersensitivity.

Consequences include weakened bond strength, post-operative sensitivity, compromised color stability, an increased release of chemicals into your body, and a higher risk of fracture in undercured restorations.

Regularly check the curing light tip for any chips or cured resin, and follow proper maintenance procedures. Using a barrier/sleeve over the light guide can contribute to optimal performance.

Holding the light tip directly over your restoration and perpendicular ensures that the light travels in a straight line, maximizing its effectiveness in curing your restoration and preserving anatomical features.