Material und
Maschine: Der erste Eindruck zählt

Ein Beitrag von Oliver Brix, Bad Homburg
 

Oliver Brix ist international als Experte für Vollkeramik anerkannt. Seit etwa einem Jahr arbeitet er mit der Desktop-Fräsmaschine PrograMill DRY. Hier fasst er seine Erfahrungen zusammen und beschreibt zudem, warum er in vielen Bereichen das Zirkonoxid IPS e.max ZirCAD Prime verwendet.

Im April 2021 haben wir das Digital-Portfolio in unserem kleinen Dentallabor um die CAD/CAM-Maschine PrograMill DRY ergänzt (Abb. 1 und 2). Ausschlaggebendes Kriterium für diese Maschine war ihre kompakte Größe. Nach einigen Monaten in Anwendung können wir sagen, dass die PrograMill DRY den von uns gestellten Aufgaben ohne Limitation gerecht wird. Die Fräsmaschine bietet eine hohe Präzision. Die Fräszeit ist gegenüber vergleichbaren Systemen relativ kurz. Der Maschinen-Innenraum lässt sich einfach reinigen und das Bestücken mit den Materialscheiben ist ebenso einfach wie genial gelöst. Wir fräsen hauptsächlich Zirkonoxid-Restaurationen. Bei der Entscheidung für das jeweils passende Material stehen der Anwendungsbereich (Einzelzahnversorgung, Brücke, Implantatprothetik etc.) und die Art der Finalisierung (Vollverblendung, Teilverblendung oder monolithisch) im Fokus. Dieser Artikel stellt die Zirkonoxide IPS e.max ZirCAD Prime und IPS e.max ZirCAD Prime Esthetic von Ivoclar vor (Abb. 3). Beide Werkstoffe kombinieren jeweils zwei Zirkonoxidrohstoffe mit unterschiedlicher Festigkeit und weisen einen stufenlosen Farb- und Transluzenzverlauf auf (Abb. 4).

IPS e.max ZirCAD Prime

IPS e.max ZirCAD Prime kombiniert einen 3Y-TZP- (Dentinbereich, 1250 MPa Biegefestigkeit) mit einem 5Y-TZP-Rohstoff (Inzisalbereich, 750 MPa Biegefestigkeit).

IPS e.max ZirCAD Prime Esthetic

Bei IPS e.max ZirCAD Prime Esthetic wird ein 4Y-TZP mit einem 5Y-TZP kombiniert. Hier reduziert sich die Festigkeit im Dentinbereich zugunsten einer insgesamt außergewöhnlichen Ästhetik (höhere Transluzenz).

„Die kleine Große“ … kompakte Trockenfräsmaschine PrograMill DRY

Die PrograMill CAM bietet eine klare Übersicht und lässt keine Wünsche offen.

Die neuen Materialien IPS e.max ZirCAD Prime und IPS e.max ZirCAD Prime Esthetic kombinieren Stabilität und Ästhetik gleichermaßen.

Beispiel einer Zirkonoxidrestauration nach dem Sintern und Veredeln.

„The making of“ einer Zirkonoxid-Restauration

Zu den besonderen Eigenschaften von IPS e.max ZirCAD Prime Esthetic gehören die hohe Transluzenz und die nahezu perfekte farbliche Adaption an den Farbschlüssel (Abb. 5). Bereits nach dem Fräsen in der PrograMill DRY zeigt sich die hohe Präzision (Abb. 6 und 7). Das Ausarbeiten von Details (Abb. 8 und 9) sowie das Glätten der Oberflächen erfolgen bei uns grundsätzlich vor dem Sintern. Eine Übersicht der verwendeten rotierenden Werkzeuge zeigt die Abbildung 10.

Digital trifft Handwerk

Die Kombination aus Nesting und Schleifstrategie bringt Präzision …

… und sorgt für feinste Details.

Das manuelle Nachbearbeiten nach dem Heraustrennen der Restauration aus der Scheibe (vor dem Sintern) ermöglicht feinste Korrekturen an Bereichen, an denen die Fräsmaschine zahntechnische Unterstützung braucht.

Erst durch das Analoge wird das Digitale perfekt!

1-3: Zirkonoxidfräsen (Fa. Briegel Dental) für das grobe Verschleifen und Ausarbeiten | 4-5: Z-Cut Diamanten (Fa. NTI) für das feine Konturieren | 6: Dreikantschleifer (Fa. Komet) für das Separieren und Nachziehen der Fissuren | 7-9: Gummier-Instrumente speziell für Grünlinge (Fa. Frank Dental) | 10: Nylonbürste (Fa. Scheu) zum Glätten und Ausdünnen der Ränder

Individualisieren und Sintern

Ivoclar bietet unterschiedliche Färbeliquids (Abb. 11). Wir arbeiten bei Vollverblendungen mit weißem (uneingefärbten) Zirkonoxid und beschränken das Einfärben auf eine leichte Infiltration der Ränder. Bei monolithischen oder labial verblendeten Strukturen gibt es verschiedene Wege der Individualisierung. Eine rein externe Bemalung vor dem Sintern hat den größten visuellen Effekt, birgt allerdings die Gefahr, dass dieser Effekt nicht wunschgemäß erscheint. Das Einfärben des Gerüstes (gesäuberte Restauration) beginnt mit dem Auftragen des IPS e.max ZirCAD Colouring Liquids A2 auf zervikalen, interdentalen und okklusalen Bereichen. Das inzisale Drittel lässt sich mit einem Auftrag von violett und grau akzentuieren, um Illusion von Tiefe zu kreieren. Mit dem Aufbringen eines Blautons können die mesialen und distalen Bereiche betont werden (Abb. 12c). Abschließend wird die Restauration getrocknet und auf dem Sintertisch positioniert. Das Sintern im Programat S2 (Abb. 13) bildet das Herzstück für Endstabilität und farbliches Erscheinen. Zu beachten ist, dass sich die zu sinternden Strukturen in Volumen und Größe unterscheiden. Um die Transluzenz etwas zu steigern, erhöhen wir bei größeren Einheiten die Temperatur um 20 °C bis 30 °C (Hinweis: Empfehlung unsererseits; entspricht nicht den Empfehlungen des Herstellers).

 

Dezentes Infiltrieren mit IPS e.max ZirCAD Infiltrationsliquids

Dentin wird approximal, am Zahnhals und okklusal im Zentrum 2x aufgetragen. Grau und violett werden gemischt und im inzisalen Drittel sowie auf den Höckerabhängen 1x aufgetragen. Blau wird streifenförmig ebenfalls im inzisalen Drittel 1x aufgetragen. Hier entsteht jedoch kein wirklich blauer Effekt, deshalb ist diese Applikation unkritisch und bringt lediglich etwas Dynamik ins Spiel.

Der Sinterofen Programat S2 punktet mit einfacher Bedienung und hervorragenden Ergebnissen.

Veredelung

Nach dem Sintern präsentiert sich die Restauration sehr anschaulich (Abb. 14). Doch das wahre farbliche Potenzial präsentiert sich nach dem Auftrag von Glasurmasse (Abb. 15 und 16). Wir applizieren vor dem Bemalen eine dünne Schicht Glasurmasse. Das Bemalen erfolgt mit modifizierten Malfarben (IPS Ivocolor Shades und Stains). Nach der Politur (Abb. 17 und 18) entsprechen Restaurationen aus IPS e.max ZirCAD Prime Esthetic erfahrungsgemäss bezüglich Farbtreue, Helligkeitswert und Erscheinungsbild beinah der Presskeramik IPS e.max Press HT (high translucency). Dies ermöglicht aus ästhetischer Sicht den uneingeschränkten Einsatz bei allen Einzelzahn- und kleinen Brückenrestaurationen (Abb. 19 und 20).

Die gesinterte Brücke

Okklusale Ansicht nach langsamem Sinterbrand. Bereits jetzt ist die farbliche Wirkung zu erahnen.

Ein dünner Auftrag der Glasurpaste bringt die Farbe und Dynamik des Materials voll zur Geltung. Generell raten wir davon ab, Zirkonoxid nur zu polieren. Die Politur dient dem Verfeinern nach der Glasur.

Die fertige Restauration aus IPS e.max ZirCAD Prime Esthetic nach dem dezenten Bemalen, der Glasur und der abschließenden Politur.

Alle Details – einschließlich Farbgebung und Gesamteindruck – lassen vergessen, dass es sich hier um Zirkonoxid (einst ein sehr opaker Werkstoff) handelt. Eine neue Generation von Materialien bietet tolle Optionen.

Farbtreue in sehr hoher Qualität

Auch der Helligkeitswert ist überzeugend.

Fazit

Beim Herstellen von Zirkonoxid-Restaurationen lässt sich der Workflow von CAD-Konstruktion, Nesting, Fräsen und Veredeln mit dem passenden CAD/CAM-System und einem zeitgemäßen Materialportfolio problemlos in kleine Laborstrukturen einbinden.

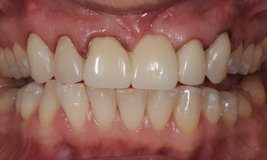
Ausgangssituation mit Langzeitprovisorium für eine neue prothetische Restauration.

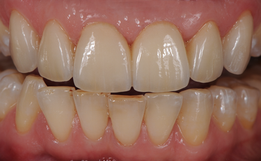
12 Veneers und eine labial verblendete Brücke aus IPS e.max ZirCAD Prime.

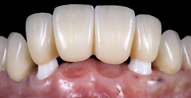
Zirkonoxidbrücke (IPS e.max ZirCAD Prime) auf individuellen Zirkonoxid-Abutments, ebenfalls mit klassischer labialer Verblendung (IPS e.max Ceram).

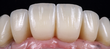
Die Brücke auf dem Weg zu ihrem Ziel …

… der harmonischen Integration in das Gesamtbild.