Piazza del Popolo in Ascoli Piceno is considered one of the most beautiful city squares in central Italy. It is only a five-minute walk from the city’s beautiful travertine town centre to get to the dental studio of two members of the Narducci family. Here, dental technician Gennaro Narducci and his son and dentist Federico Narducci have set up a dental centre that is dedicated to digital dentistry and equipped accordingly with CAD/CAM, DVT imaging technology and much more.
Like in many other dental labs and practices, a large share of the all-ceramic restorations is made from zirconium oxide in the studio of the Narduccis. They have closely watched the efforts of manufacturers to develop zirconia materials that feature improved translucent properties and they noticed:
“So far, an increase in translucency has always meant a decrease in strength. Building up blanks in different layers of shades presents an interesting approach, but ultimately does not correspond to the structure of the natural tooth. With the introduction of IPS e.max ZirCAD Prime in Italy, we asked ourselves whether the development of this material would provide a solution to the drawbacks of past. According to the manufacturer, this material combines high strength with the high esthetic properties expected from high-quality ceramic materials. So we wanted to carry out a field test to see if IPS e.max ZirCAD Prime delivers what it promises. Since single tooth crowns and three-unit bridges make up the lion’s share of our dental prosthetic work, we planned to test the new material in each of these two indications.”
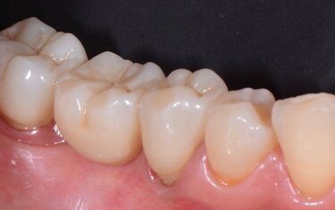
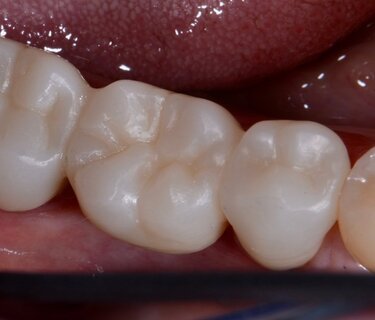
A posterior bridge was the first application that the Narduccis chose to carry out to test the zirconia material in their dental centre. The patient to receive the restoration had a fractured metal-ceramic restoration on teeth 45 to 47. It was decided to replace the restoration with a 3-unit monolithic bridge made of IPS e.max ZirCAD Prime. Rationale: With IPS e.max ZirCAD Prime, there is no need for subgingival preparation margins as there are no metal margins to conceal. In addition, the risk of ceramic chipping is minimized.
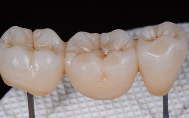
Three-unit bridge milled from IPS e.max ZirCAD Prime zirconium oxide. Given its high strength, this material is greatly suited for load-bearing regions and long-span bridges (image above)
Once sintered, the restoration featured an impressively smooth progression of shade and translucency, even without applying any infiltration or staining. This is the result of the GT technology, in which high-translucency and high-strength zirconium oxide are combined in a single disc, using special filling technology and Cold Isostatic Pressing (CIP). (image below)
The CIP-based microstructure contributes to the material's high accuracy of fit. The try-in proved it: the bridge showed an excellent fit right from the beginning.
IPS e.max ZirCAD Prime has passed the test as a material for the posterior region with flying colors.
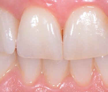
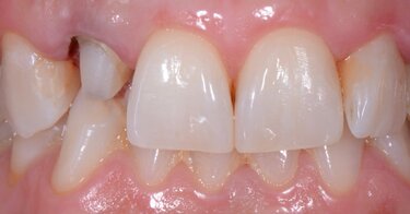
In the second test, IPS e.max ZirCAD Prime was used to restore a fracture that reached the cervical third of an anterior tooth no. 12. The tooth structure was weakened by a previous endodontic treatment and composite filling. In this case, the treatment team decided to use a monolithic crown made of IPS e.max ZirCAD Prime. With space being limited, the advantage of this option was that no veneering layer needed to be applied. In view of the patient's functional dynamics, emphasis was placed on using a material that offers high stability.
Fractured and endodontically treated tooth: prepared for a monolithic all-ceramic restoration. (Right Image)
The crown made of IPS e.max ZirCAD Prime showed an excellent accuracy of fit at the try-in. Given the increased opacity of the dentin area, it can be expected that any discolored patches on the preparation will be reliably concealed, even if the thickness of the material is only 0.8 mm. Given the unfavorable functional dynamics of the present case, the material's high strength was seen as especially advantageous.
As the chroma decreases and the translucency increases towards the incisal area, the material reproduces the tooth structure in a seamless flowing progression, similar to the natural dentition. The crown was placed on a die model made of IPS Natural Die material to simulate the natural abutment. Final characterizations were applied using the staining technique and IPS Ivocolor materials.
The completed restoration was checked on the plaster model once more. (Image above, right)
Self-adhesive cementation can be performed with resin cements such as SpeedCEM Plus. (Image below). The full-contour crown made of IPS e.max ZirCAD Prime and customized with the staining technique led to a convincing result, even in the exposed esthetic zone - top marks for the application in the anterior region.
"To give our patients the best possible treatment, we are interested in finding new promising treatment methods and materials and make an effort to keep abreast of the latest possibilities. We are especially passionate about providing highly esthetic metal-free restorations. As esthetic as lithium disilicate and as strong as zirconium oxide - IPS e.max ZirCAD Prime is a material that combines the best of two materials in one. The material stands out from comparable products on the market due to its innovative process technology (GT) and seemingly small but decisive details.
In addition to the monolithic method shown here, veneering and cut-back techniques can also be used to complete the restorations. Customized and highly esthetic results can be achieved by simply characterizing the surfaces of the restorations using the IPS Ivocolor materials in the staining technique. The staining technique is ideal for cases in which function-related ceramic chipping cannot be ruled out or veneering is not possible due to a lack of space.
Speed sintering and efficient finishing procedures enable the laboratory to deliver the restorations with short lead times - the high accuracy of fit minimizes the need for subsequent adjustments by grinding. On balance, this advanced all-ceramic solution meets our high standards perfectly."