In this 3-part series, Dr. Ahmad Al-Hassiny shares how digital dentistry has revolutionized his New Zealand clinics, streamlined workflow efficiencies, and significantly increased profitability.

 

Figure 1 (below): Central Hutt Dental, New Zealand is an eleven-chair dental clinic and one of five clinics established, owned, and operated by the Al-Hassiny family. 

Digital dentistry has transformed our dental practices here in Wellington, New Zealand, and continues to revolutionize the field of dentistry. Even though we are almost 8,000 air miles and 17 hours apart from our colleagues in the US, I am sure our digital journeys share similarities. For us, it has been a 15-year undertaking to transform our five dental clinics from the comfort zone of status quo dentistry to a fully digital workflow. 

Today, each of our clinics is equipped with a CEREC system and all the latest materials and technologies the profession offers (Figures 1-3). In fact, we are so passionate about the possibilities of digital dentistry that we opened New Zealand’s first digital dentistry training center where like-minded dental professionals from around the globe gather for live and online courses. Our mission at the Institute of Digital Dentistry (www.instituteofdigitaldentistry.com) is to ensure dental professionals gain the knowledge and confidence they need to use digital dentistry effectively and efficiently.

  

Figure 2: Our Institute of Digital Dentistry offers the latest clinical and laboratory CAD/CAM equipment from intraoral scanners and laboratory scanners to photogrammetry devices, milling machines, and 3D printers. 

  

Figure 3: The laboratory at the Institute of Digital Dentistry Laboratory, Naenae Dental Clinic, New Zealand.

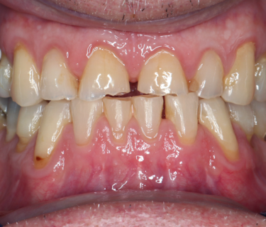
That knowledge and confidence we gained from our journey to achieve high-quality same-day restorations has completely changed how we practice dentistry and the perception of our patients on how dentistry is practiced. Our patients are “wowed” by our ability to provide them with single-visit restorations, which has become a significant selling point to families and friends and an enormously profitable and free marketing tool for our practice. Patients love the concept of leaving the practice with a new beautiful, life-like smile (Figure 4-5, below), or more simply a same-day crown. No more temporaries; no waiting for weeks for the final restorations; and few, if any, final adjustments after seating (Figures 6-9). 

Figure 4-5: This smile makeover involved full coverage crowns for teeth #13-23 milled from IPS e.max CAD in MT B1. The monolithic crowns were stained and glazed to optimize the esthetics.
Figure 4-5: This smile makeover involved full coverage crowns for teeth #13-23 milled from IPS e.max CAD in MT B1. The monolithic crowns were stained and glazed to optimize the esthetics.

Figure 6 (above): This interdisciplinary full-mouth rehabilitation was performed on a patient with severe bruxism-related attrition. Prior to treatment, the patient underwent orthodontic treatment and multiple implant surgeries including a sinus lift.

  

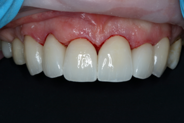
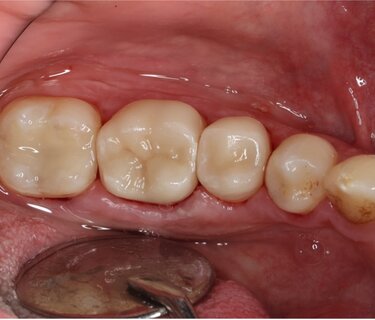
Figure 7:  Full-contour crowns for teeth #1-#16 were milled from IPS e.max CAD and fitted on a 3D-printed model prior to staining and glazing.

  

Figure 8:  The final IPS e.max CAD restorations fired, stained, and glazed.

  

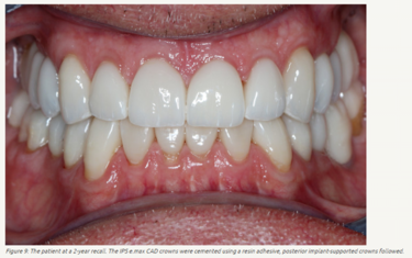
Figure 9: The patient at a 2-year recall. The IPS e.max CAD crowns were cemented using a resin adhesive, posterior implant-supported crowns followed.

Of course, our journey, like yours, would not be possible without proven technologies and research-based materials that provide the combined trifecta of strength, esthetics, and workflow efficiency. Over the years, we have placed more than 10,000 digitally-driven restorations, 90% of which were fabricated from a single all-ceramic material (IPS.emax, Ivoclar Vivadent). Whether a single crown or a quadrant, we rely on materials that provide the highest quality esthetics while maximizing our time, workflow efficiency, and profit, as well as the comfort and convenience of our patients. For example, if we find decay mesial or distal to a crown preparation, which is quite common, we can simply prep the site, restore with an inlay or onlay milled from a complementary material (Tetric CAD, Ivoclar Vivadent), and bond both at the same appointment (Figures 10-15). 

 

Figure 10 (left): This same-day case involved restoring teeth #1-#3 with full-contour crowns and inlays. The patient was experiencing symptoms similar to cracked tooth syndrome.

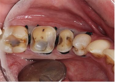
Figure 11: During tooth preparation the amalgam fillings were removed, decay excavated, and compromised tooth structure reduced.

Figure 10: This same-day case involved restoring teeth #1-#3 with full-contour crowns and inlays. The patient was experiencing symptoms similar to cracked tooth syndrome.
Figure 11: During tooth preparation the amalgam fillings were removed, decay excavated, and compromised tooth structure reduced.
Figure 12: The preparations were scanned and margins delineated using CEREC Primescan.
Figure 13: The inlays and full contour crowns designed using CEREC Primescan.

Figure 12 (above, left): The preparations were scanned and margins delineated using CEREC Primescan. 

Figure 13 (above, right): The inlays and full contour crowns designed using CEREC Primescan.

Perfecting a digital workflow that is efficient, that maximizes timesaving processes and that increases profitability requires constant tweaking as the field of digital dentistry continues to evolve. In Part II, I will share the workflow processes we have found most efficient and helpful tips and techniques we have incorporated to ensure we provide optimum dental care in a single visit. 

 

Figure 15 (below): This immediate post-op image shows the final seated restorations cemented using resin adhesive cement. The Tetric CAD inlays were polished and the IPS e.max CAD crowns stained, glazed, and crystallized for final esthetics. 

Dr. Ahmad Al-Hassiny
a global leader in digital dentistry and intraoral scanners, carrying out lectures as a KOL for many companies and industry. He is one of the few in the world who owns and has tested all mainstream scanners and CAD/CAM systems in his clinic. Dr. Ahmad is also the Director of The Institute of Digital Dentistry (iDD), a world-leading digital dentistry education provider. iDD offers live courses, masterclasses, and an online training platform, with a mission to ensure dentists globally have easy and affordable access to the best digital dentistry training possible.
Subscribe to our blog!

Receive our monthly newsletter on recently published blog articles, upcoming education programs and exciting new product campaigns! 

Please be informed about our Privacy Policy.