Efficient Posterior Composite Dentistry

Originally published in DentalTown Magazine, November 2023
Operating a dental practice involves balancing many moving parts. From patient scheduling, and estimating procedure times to delivery of a restorative solution, the ability to maximize efficiency while maintaining the quality of care is critical not only for patient satisfaction but also, and most importantly, for practice productivity and profitability.  As busy practitioners, our goal is to try and minimize the time patients spend in the chair while maximizing the delivery of highly esthetic, long-lasting restorations. This is particularly true when it comes to direct composite restorations in the posterior, which are the bread-and-butter of any dental practice.

The reality is that most patients place less value on the time spent restoring their posterior teeth because they perceive them as less impactful to the beauty of their smile. Yet, these patients demand and value an esthetic outcome. As a result, they expect to get in and out of the practice as quickly as possible with a restoration that blends seamlessly with existing dentition. When given the choice of saving tooth structure by replacing old amalgam restorations with a highly esthetic direct composite material versus the time, expense, and loss of natural tooth structure offered by restoring a tooth with an indirect crown, patients will most often choose the direct approach.

Fortunately, today, we have integrated tools, materials, technology and processes that together optimize and streamline the direct composite process. The time-consuming inefficiencies and technique sensitive steps of incremental layering and curing have been eliminated. Advances in light-curing technology now shorten polymerization times and improvements in material science minimize polymerization shrinkage and tooth sensitivity while offering an esthetic outcome that retains its luster over the years.

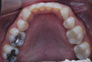
In the case presented here, a 53-year-old male patient presented to the practice complaining of cold sensitivity in his lower arch. Initial examination revealed his decades-old posterior amalgam restorations on teeth #18 and #19 were failing (Figure 1). When the restorative options of restoring his teeth with all-ceramic crowns versus a direct composite approach were discussed with the patient, he chose the latter to satisfy his primary concerns of saving existing tooth structure, time required to restore his teeth and cost. Both options satisfied his desire for a non-metal solution, which is often a concern of patients due to the higher visibility of metal restorations in the lower arch.

 

Figure 1 (below): The patient presented with two failing amalgam restorations and the complaint of cold sensitivity.

 

Case Report

The patient was anesthetized and the operative site isolated with a rubber dam (Figure 2). Teeth #18 and #19 (Figure 3) were prepared, removing the existing amalgam and underlying caries, and angles of the preparation refined to maintain the integrity of the tooth structure and retain as much enamel as possible for a durable restoration. The preparations were air-abraded (Prep-Start Danville Engineering) using 27-micron aluminum oxide at 40 psi to help increase the bond strength of the composite to the tooth enamel (Figure 4). The preparations were then rinsed and cleaned and disinfected with a 2.0% chlorhexidine gluconate antibacterial slurry (Consepsis Scrub, Ultradent).

After the preparations were thoroughly cleaned and disinfected, a single component 37% phosphoric acid etch material (Etch-37 wBAC, Bisco) was applied to the enamel of both teeth (Figure 5) and air-dried to ensure a strong marginal seal of the composite to the enamel. A universal adhesive (Adhese Universal, Ivoclar) was then scrubbed onto the cavity walls of each tooth (Figure 6), air-dried and cured (BluePhase PowerCure, Ivoclar) for 3 seconds (Figure 7). Next, a single layer of flowable composite (Tetric PowerFlow, Ivoclar) was applied to line the internal aspects of the cavity and light cured for 3 seconds (Figure 8). The flowable composite ensures a complete seal of the dentin against microleakage and recurrent caries and helps eliminate the stress of polymerization shrinkage. In addition, during the curing process, the high translucency of the flowable material gradually changes to a more opaque shade that is closer to that of natural dentin in value and will conceal the stained underlying tooth structure to optimize the esthetics of the final restoration.

The internal depth of each tooth was then measured with a periodontal probe (Figure 9) to verify that the depth of each cavity was not more than 4mm in depth, which is essential when using a single cure bulk restorative material. A single 4mm layer of a bulk fill composite (Tetric PowerFill IVB, Ivoclar) was placed in each tooth (Figure 10), compressed and flattened (OptraSculpt, Ivoclar) to remove any air bubbles (Figure 11) and final anatomy sculpted (Figure 12) using a contouring instrument (P1 Plugger, Ivoclar). The composite fillings were light-cured for the manufacturer recommended 3 seconds (Figure 13). Once curing and occlusal adjustments were made, the restorations were finished and polished using silicone polishers (OptraGloss, Ivoclar) (Figure 14).

Figure 15 shows the esthetic restorations immediately after treatment and after rehydration (Figure 16).

Figures 15 and 16 (below): The esthetic restorations immediately after treatment and after rehydration.

Conclusion

For busy clinicians adopting an efficient esthetics approach for posterior restorations maximizes dental practice productivity and profitability. Using a single coordinated system of restorative and bonding materials in conjunction with efficient, and streamlined protocols for Class I restorations helps save chair time without compromising the integrity, predictability and long-term durability of the final restoration. Most importantly, it optimizes the patient experience. By minimizing chair time for patients while meeting their esthetic demands helps build trust and confidence in the dentist/patient relationship. In this case the patient was so pleased with the esthetic outcome, he scheduled an appointment to restore the two amalgam restored molars on the opposite side of his lower arch.

Dr. Christina Pruitt
Dr. Christina Pruitt owns and operates All Smiles Family Dentistry, a general and
cosmetic dentistry practice in Omaha, Nebraska. After graduating from the University of Nebraska Medical Center College of Dentistry, Pruitt completed an Advanced Education in General Dentistry residency while serving four years of active duty in the U.S. Air Force. She is a graduate of the Kois Center and an accredited member of the American Academy of Cosmetic Dentistry.
Subscribe to our blog!

Receive our monthly newsletter on recently published blog articles, upcoming education programs and exciting new product campaigns! 

Please be informed about our Privacy Policy.