By Shannon Pace Brinker, CDA

The OptraGate retractor is a revolutionary tool in modern dentistry, often referred to as an "assistant to the assistant." With over 100 million units placed to date, it has proven to be an indispensable asset in dental practices worldwide. Designed to retract the patient's lips and cheeks, the OptraGate provides an unobstructed view for clinicians, significantly enhancing clinical efficiency. This latex-free, highly flexible retractor ensures comfort during various dental procedures, making it an ideal choice for all clinical applications.

One of the standout features of the OptraGate is its versatility in size options, which cater to different patient demographics. The OptraGate is available in regular, small, and junior sizes, making it suitable for adults, children, and patients with smaller mouths. The addition of the junior size is particularly beneficial for pediatric patients and adults with smaller oral cavities, ensuring that the retractor fits comfortably and securely without causing discomfort. This adaptability has made the OptraGate a favorite among dental professionals for effective retraction.

The OptraGate White variant is available in an assortment box that includes 40 regular and 40 small retractors. For practices that prefer specific sizes, refill options are available in boxes of 40 or 80 units in regular, small, and junior sizes. Additionally, the OptraGate Blue and Pink variants are offered in assorted boxes of 20 or 40 units, specifically in small or junior sizes. This variety allows dental practices to choose the most appropriate retractor size and color to meet their specific needs, ensuring optimal patient care and comfort.

Using the OptraGate is straightforward. To determine the correct size, practitioners can measure the patient's mouth using the measurement ruler provided on the front of the package. This ensures that the chosen retractor fits snugly and performs its function effectively. The design of the OptraGate allows for excellent retraction of the cheeks and lips while still permitting the patient to close their mouth comfortably to check occlusion. This feature is particularly useful in various dental procedures, where maintaining patient comfort is crucial.

The OptraGate retractor is suitable for a wide range of dental procedures, enhancing the efficiency and effectiveness of preventive, operative, orthodontic, and cosmetic dental treatments.

Preventative Dentistry

In preventative dentistry, the OprtaGate proves invaluable for procedures such as air polishing, sealant application, fluoride placement, coronal polishing. 

Laser Applications for Dental Hygiene

Laser Bacterial Reduction or LBR, Laser Assisted Periodontal Therapy LAPD, Aphthous Ulcers/Herpetic Lesions, Photobiomodulation (PBM), Tooth Desensitization and Laser Whitening. The retractor's ability to keep the oral cavity open and accessible allows dental hygienist and hygiene assistant to perform preventive and laser applications more efficiently and with greater precision.

Operative Dentistry

For operative dentistry, the OptraGate is a game-changer. It facilitates digital scanning, shade analysis, and digital photography by providing a clear, unobstructed view of the teeth and gums. This is particularly beneficial for CAD/CAM scanning and impression taking, where accuracy is paramount. Additionally, the OptraGate aids in both direct and indirect restorative procedures by ensuring that the working area is easily accessible and free from interference by the patient's lips and cheeks.

Teeth Whitening

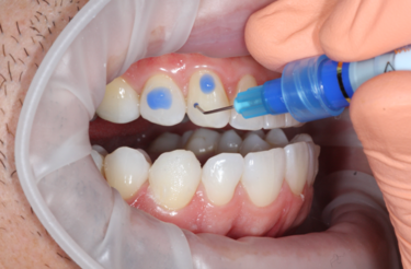
Cosmetic Dental Procedures, such as professional teeth whitening, benefit significantly from the use of the OptraGate. The retractor ensures that the whitening agents are applied evenly and accurately without being compromised by the patient's lips or cheeks. The OptraGate is also ideal for dental gem placement and white spot lesion removal, providing a clear field of view and enhancing the precision of these aesthetic treatments.

Orthodontics

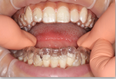
In orthodontics, the OptraGate is indispensable for digital scanning for diagnostic records, placement of brackets and wires, as well as attachments for clear aligner therapy. It also aids in the placement of dentin sealant material and the fitting and seating of orthodontic appliances. The retractor's ability to keep the oral cavity open and accessible ensures that these procedures are performed efficiently and with minimal discomfort to the patient.

Overall, the OptraGate retractor is a versatile, comfortable, and efficient tool that enhances the quality of dental care across various specialties. Its wide range of applications and sizes makes it a must-have in any dental practice, ensuring patient comfort and clinical success in every procedure.

Shannon Pace Brinker, CDA

Shannon Pace Brinker, CDA is a national and international speaker, published author and practicing dental assistant for over 30 years. She has published over 200 articles in regards to Clinical Application and taught thousands of dental assistants across the US and Canada. Shannon and her team of dental assistant trainers have taught over 60,000 dental assistants over the last six years on clinical application for the dental assistant. Shannon has taught at the Nash Institute, Dawson Academy, and Spear Education, instructing through both lectures and hands-on programs.Shannon has a column in Dental Product Report for team evaluation of dental products and materials.

Subscribe to our blog!

Receive our monthly newsletter on recently published blog articles, upcoming education programs and exciting new product campaigns! 

Please be informed about our Privacy Policy.