Each indirect material on the market today possesses different properties. Material composition, strength, biocompatibility, esthetics, and flexibility of use all influence the suitability of the material for different indications. For dentists and technicians, understanding these properties as well as other critical factors that impact the totality of the restorative process and final seating is key to knowing how each material will perform in the mouth and how long the restoration is likely to last. Often the only measure that dental professionals have to gauge whether a particular material works in the mouth is the failure or success rate they experience.

Today, understanding property differences, adhesive protocols and specific indications has become even more difficult with the explosion of new monolithic indirect restorative materials that have been designed for use in the digital dental space, coming to market.  From monolithic lithium silicates and disilicates to new ceramic-composite hybrids and zirconia, keeping abreast of where and how they should be used in the mouth, as well as how to achieve the same natural-looking esthetics that analog materials and processes offered in the past, can be daunting.

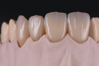
However, the independent research that prosthodontist Dr. Ed McLaren DDS, MDC and Jed Archibald, CDT have embarked on helps shed light on a current generation of machinable indirect materials. These materials not only offer the strength needed for long-term durability and the flexibility to be used in every segment of the mouth but also the high-level esthetics once only achievable in the hands of talented ceramists using labor-intensive analog materials and processes. With a combined 50+ years researching and working with indirect materials as well as lecturing worldwide on best-in-class materials and  applications, McLaren and Archibald are driven to demystify the differences between the various types of zirconia, the bonding challenges that are essential to understand for the longevity of certain monolithic restorative applications, and to offer their advice on material selection for high strength, natural-looking esthetic outcomes in an effort to help clinicians and technicians make the best restorative choices for their patients.

To gain a glimpse into the research and philosophies of McLaren and Archibald, we encourage you to watch the short video below

Download your free Prime Zirconia case guide to discover how to give your patients a long-lasting new smile.

Download your free case guide

Subscribe to our blog!

Receive our monthly newsletter on recently published blog articles, upcoming education programs and exciting new product campaigns! 

Please be informed about our Privacy Policy.