For years, I’ve enjoyed working with IPS e.max Press and IPS e.max CAD, a lithium-disilicate ceramic material that continues to surprise me with its versatility and potential. Despite my extensive experience, each day brings new opportunities to learn more. With over 60 color options, IPS e.max CAD and Press offer a large spectrum of blocks and ingots, mimicking the layers of a natural tooth. This broad selection empowers us, lab technicians, to achieve restorations that seamlessly replicate nature.

The concept is simple yet profound: when dentists prep enamel, we restore enamel (MT Medium Translucency) and when they prep dentin, we replace dentin (LT Low Translucency). This alignment is reflected in the diverse ingots and blocks options, i.e. MT (Medium Translucency) to restore enamel, LT (Low Translucency) for dentin restoration. Each has a unique purpose, speaking the natural language of tooth layers.

For cases requiring masking over dark preparations, MO (Medium Opacity) and HO (High Opacity) ingots become essential tools. They allow for effective 
masking while providing a foundation for layered ceramics, such as dentin and incisal powders from the IPS e.max Ceram assortment, to recreate the esthetics of a natural tooth.

Understanding and simplifying the ingot/block selection is key to successful restorations. Other decisions like selecting the appropriate lab techniques come next. The goal is always to enhance the lifelike quality of the final restoration.
For example:
LT (Low Translucency): Best suited for dentin restoration. By cutting back the material, we create space to layer incisal powders, resulting in a natural blend.

MT (Medium Translucency): Ideal for incisal layers. A micro-cutback allows for delicate stacking of incisal powders, enhancing translucency and creating a smooth shade transition from cervical to incisal. 
For this case, the patient was confident about her choice of having a BL4 bleach shade - bright but natural-looking teeth, therefore focus shifted to reproducting the milti-layered effects of a natural tooth after considering the BL selection of ingots (Figs. 1-2).

Figure 1: Inital Situation

Treatment Plan

The treatment plan was established to restore function and esthetics with the following approach:

  • Placement of single crowns in the upper arch, and one three-units bridge in the posterior region.
  • In the lower jaw, single crowns for the posterior teeth and veneers for the anterior teeth. 

After assessing the doctor’s preparation depth, we selected LT BL2 blocks from the IPS e.max CAD range. This choice provided the balance between bleach brightness and the ability to replicate natural layers effectively. The low-translucency (LT) block provided a dentin-like core that significantly filtered the yellowish tone of the underlying prep (stump), offering the ideal foundation for a (brush) customization. This decision was guided by the preparation depth determined during the mock-up smile test drive protocol, ensuring alignment with the case's esthetic goals. The LT BL2 block was particularly well-suited to support the high brightness of the final requested shade, BL4. It is important to note that the process of stacking ceramic powder can slightly reduce the brightness of the ingot. To compensate for this, it is always advisable to choose an ingot brighter than the desired final shade when planning to cut back and layer ceramic (Figs. 3-5).

We decided to employ the cutback technique on the centrals and laterals of the upper and lower jaws to craft a lifelike stacked enamel layer on top of the LT BL2 base. By doing so, we not only enhanced the restoration’s translucency but also created a seamless progression of shades, closely mirroring the natural tooth structure (Figs. 6-7).

Figures 6-7 below:

Customized Incisal Characterization

Incisal characterization is an optional feature that should ultimately reflect the patient’s preference. As dental professionals, our role is to educate patients by presenting visual examples tailored to their unique case and help them make informed decisions (Figs. 8a-b).

Figures 8a-b: A simulation of the trasnition between the milled IPS e.max CAD and the completed restorations. 

For instance, we can explain the relationship between the appearance of mamelons and age, highlighting how specific characterizations contribute to a natural, youthful look. By 
showcasing photos of natural-looking incisal characterization and offering a range of translucency levels, we provide patients with a clear understanding of the possibilities available to them. If the patient’s goal is to have a youthful smile to appear younger, adjusting the level of translucency could be an option worth discussing.

In this case, the patient expressed a strong preference for a relatively high translucency with natural incisal characterizations (Figs. 9-10). 

Figures 9-10: IPS e.max lithium-disilicate crowns and vaneers and an IPS e.max Prime zirconia bridge

Why IPS e.max CAD Over Press

Both IPS e.max CAD and Press deliver exceptional results, but after completing hundreds of cases with both materials, I’ve developed a system to determine when to use each. The decision often comes down to balancing efficiency with specific case requirements

In my daily work, the digital workflow with IPS e.max CAD now surpasses the press technique in terms of efficiency in most cases. Two key factors contribute to this: First, IPS e.max CAD eliminates the need for a pressing sprue, which can distort the shape of the incisal edge. Second, it allows the material to be tried in the mouth at the blue stage, enabling precise adjustments to the length and smile line before finalizing the restoration. For this reason, I now fabricate 95 percent of my lithium disilicate cases using IPS e.max CAD. The remaining five percent is reserved for IPS e.max Press, primarily for two reasons: limitations in mill ability and the enhanced (brightness) options that the press ingots offer compared to blocks.

This approach allows me to optimize my workflow while ensuring the best possible outcomes for each case. By leveraging the strengths of both materials, I can meet the diverse demands of patients and deliver restorations that are both functional and esthetically outstanding.

 

Deciding Which Teeth to Cut Back and Which to Keep Monolithic

For this case, I opted to cut back the centrals and laterals in both the upper and lower arches, while keeping the remaining teeth in monolithic form. This decision was influenced by the unique balance between esthetics and functionality provided by the materials. With the 470-530 MPa strength of the IPS e.max lithium disilicate materials, preserving the integrity of functional restorations was a priority. The canines, as the cornerstone of canine guidance, and the premolars and molars, which support group function, needed their full strength to ensure long-term durability. By keeping these teeth monolithic, I minimized any potential compromise to their structural integrity (Fig. 11).

Figure 11: ZirCAD Prime bridge on the left, cut-back and facially layered internal characterization bake in the center and functional monolithic restoration on the right side. 

Additionally, there was a posterior IPS e.max ZirCAD Prime zirconia bridge placed alongside single posterior IPS e.max CAD crowns. To achieve consistency in shade dimensions between these restorations, it was necessary to keep both types of posterior restorations monolithic. This approach guaranteed a seamless blend without sacrificing function or esthetics.

The cervical third of the monolithic crowns and veneers were subtly shaded down to BL3 using IPS Ivocolor staining material in shade SD0, while the mid-thirds were left untouched to showcase the high BL2 brightness characteristic of the lithium-disilicate material. For the incisal third of the monolithic crowns, a light blue stain was applied to mimic the effect of depth and emulate the opalescent patterns created in the cutback centrals and laterals during ceramic layering. This staining technique ensured a seamless visual transition of shade and translucency, producing a natural and harmonious esthetic. It bridged the gap between the vivid brightness of the untouched mid-third and the characteristics of the layered restorations

 

The Harmonious Material System: A Lab Technician's Best Ally

For lab technicians, the peace of mind that comes from not having to juggle different materials for a single case is truly priceless. Imagine navigating the complexities of a case—balancing shape, form, tooth arrangement, occlusion, material indications, dynamic function, and working techniques—only to add the stress of mismatched shades if zirconia and glass ceramics are combined. Such a scenario would turn even the most well-planned cases into a nightmare.

Thankfully, aligned product portfolios like IPS e.max from Ivoclar eliminate this worry. With compatible materials, this system allows for seamless integration. In cases like this one, where a zirconia bridge (IPS e.max ZirCAD Prime) is surrounded by single IPS e.max CAD crowns, the manufacturer’s shade recipes ensure perfect harmony. Additionally, the universal ceramic powders and stains further simplify the process by enabling the use of both glass ceramics and zirconia at the same firing temperatures (Figs. 12-15).

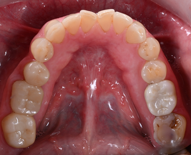
Figure 12: Upper jaw - before

Figure 13: Upper jaw - after

Figure 14: Lower jaw - before

Figure 15: Lower jaw - after

How to stay focused on artistry in such big cases - The Future of Predictable Full-Mouth Restorations

Advancements in jaw tracking technology, such as MODJAW, have revolutionized the predictability of full-arch and full-mouth cases (Fig. 16). With a MODJAW record provided by the doctor, for example, the need to mount cases on an articulator for occlusal adjustments is virtually eliminated. This innovation allows lab technicians like me to shift focus from functional adjustments to artistry and precision in the esthetic zone. 

My recent experiences with the AurumGroup, the leaders in integrating this technology in North America, have been incredibly successful. Their commitment to staying at the forefront of digital innovations has elevated the outcomes of my cases, making them more predictable and efficient. 

By embracing tools like MODJAW, we can achieve a seamless blend of function and aesthetics, pushing the boundaries of what is possible in modern restorative dentistry (Figs. 17-18).

Aiham Farah ,CDT, MDT

Certified Dental Technician specializing in dental ceramics. He is a member of the 
NADL. In 2003-2006 and 2009-2012 his private dental lab practice specialized in cosmetic restorative dentistry. From 2009-2017 he worked as a speaker and trainer for Ivoclar middle east and currently he’s a global consultant and a KOL for Ivoclar.In 2013, one of his works was awarded the 'Best Esthetic case' prize in MENA magazine and in 2015 he was granted the ‘best contribution in Digital Dentistry Excellence’ award. In 2010 and 2011 he taught at the department of Dental Technology at the University of Kalamoon, and today he’s a frequent speaker on international stages. He lectures on various topics such as ceramic materials, esthetic solutions in CAD/CAM, dental teamwork, advanced cosmetic characterization, etc. As an experienced demonstrator, Aiham passes on his practical skills to dentists and dental technicians in courses and workshops. His work has been published in numerous national and international media including QDT, JDT, LMT, Reflect, Dental Labor, Dental News, and Dental Tribune. In 2019, Aiham joined The Aurum Group® North America, in a consultative role as a consultant and National Trainer of Comprehensive Esthetics.

Subscribe to our blog!

Receive our monthly newsletter on recently published blog articles, upcoming education programs and exciting new product campaigns! 

Please be informed about our Privacy Policy.