The restorations presented here were created in collaboration with Dr med. dent. Stefan Paul in Zurich, Switzerland.

 

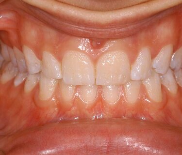
Preoperative situation

The patient presented to our laboratory because she wished to have the appearance of her front teeth improved. The enamel defects had previously been built up and enhanced with composite resin. However, the result was not to her satisfaction.

 

Figure 1 below: The photo shows the preoperative view before the treatment commenced.

Procedure

Analysis

Restorations in the anterior region have to fulfil the highest esthetic and functional standards. In this case, the chosen restorative material was IPS e.max Press, a lithium disilicate glass-ceramic.

Selection of the type of restorations

The central and lateral incisors were to be restored with veneers. 
The palatal aspect of the canines had to be included in the restorations in order to ensure proper canine guidance. Therefore, the canines had to be treated with crowns.

Selection of a suitable ingot

The IPS e.max Press MT ingot was selected because of its excellent shade-matching properties.

Press procedure

The ingots were pressed in a Programat EP 5010 G2, taking advantage of the fully automatic press function (FPF).

 Figure 2 above: Nicola Pietrobon uses a Programat EP 5010 G2 to create IPS e.max Press restorations.

Finalization

The restorations were divested and finished. 

Cementation

The prepared crowns and veneers were etched in preparation for cementation.

Figure 3 above: In the laboratory, the pressed IPS e.max Press crowns and veneers were prepared for their placement in the patient’s mouth.

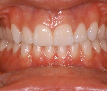
Result:

The outcome clearly demonstrates how state-of-the-art ceramic materials are capable of reproducing the natural tooth structure and what type of restorations can be produced with them.

 

Figure 4 below: The completed crowns and veneers were placed in the patient's mouth.

The IPS e.max Press restorations were successfully placed, and everyone involved in the case was highly satisfied with the result. Due to their true-to-nature translucency and opacity* the ceramic restorations blended in seamlessly with the natural teeth. The outcome clearly demonstrates how state-of-the-art ceramic materials are capable of reproducing the natural tooth structure and what type of restorations can be produced with them.

Better trust the original

the Ivoclar press technology. Lab-proven. Future-proof.
Subscribe to our blog!

Receive our monthly newsletter on recently published blog articles, upcoming education programs and exciting new product campaigns! 

Please be informed about our Privacy Policy.