An interview with Dr. Nuria on Prime Zirconia

The Ivoclar Blog team recently caught up with Dr. Nuria Otero, a prosthodontist based in Miami, FL to learn more about her daily life and to learn why she loves using quality products like Prime Zirconia. 

 

Tell us about yourself and describe how your day is, at your dental practice?

My name is Dr. Nuria Otero, I am a Prosthodontist, originally from Venezuela, with more than 20 years’ experience in dentistry. At present, I practice in Miami at Aventura Dental Arts. 

A regular day in my practice is very exciting, because I love what I do. What I like about my day-to-day practice is that we, as prosthodontists working in the aesthetics industry, change patients' lives. To see a patient with an aesthetic problem and to be able to change that, makes my day.

Dr. Nuria Otero
My name is Dr. Nuria Otero, I am a Prosthodontist, originally from Venezuela, with more than 20 years’ experience in dentistry. At present, I practice in Miami at Aventura Dental Arts. 
Learn More
Do you consider high-quality materials are essential for what you do? What materials do you like to work with?

Since I began practicing dentistry, I have always striven for high-quality work and have been able to achieve it, by using high quality materials. They go hand in hand, so high quality materials are essential.

As most of my work is in aesthetics, I usually look for materials that make my life easier and easy to manage. The most important consideration for me is light transmission and I choose the material that has translucency and is easy to fix and to modify and, in the end, manages to resemble a natural tooth.

 

What is your go to Zirconia material and how long you been using it?

Using Zirconia for me has been a challenge, I did not usually like to use Zirconia until I found ZirCAD Prime. With this new material I have noticed a change in Zirconia, it has the light transmission that gives me that natural look in my restorations. So now, this has been a life changer for me.

e.max ZirCAD Prime, has given me a great advantage to be able to achieve the final aesthetics that we always want to achieve.

I have been using Prime zirconia for more than 2 years, and I really love the material.

If I have a case that needs a restoration with Zirconia, my answer is IPS e.max ZirCAD Prime. 

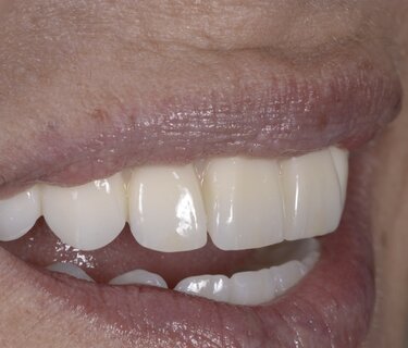
Tell us about a case you did with IPS e.max ZirCAD Prime or Prime esthetic. What was the first impression when the patient saw his/her new smile? 

I would like to share this wonderful experience that I had with a patient, whose treatment lasted for 2 years. The last appointment was the most important, of course, so there were a lot of expectations. The challenge was making the final result even better than the provisionals, which already looked beautiful. 

When we put the restorations in the patient's mouth, I noticed how the material integrated with the tissue and how incredible the light reflection in the material was, so I called my lab technician and asked if this was really Zirconia or disilicate because I could normally get the results with disilicate but not with Zirconia. When he told me that it was the new material, Zirconia from Ivoclar, I was so impressed by how good and natural it looked.

 

Besides IPS e.max ZirCAD Prime zirconia, do you use any other e.max material? And why do you prefer to make it e.max ?

I was trained in all ceramics and Zirconia cases, so when I graduated and started working with e.max lithium disilicate, it really changed my life, that's why I consider myself as an e.max woman and it's true. 

 

 

Watch below to hear why Dr. Nuria considers herself to be an e.max woman!
About the Author:

Dr. Nuria Otero was born and raised in Venezuela, where she had a very successful dental practice. She received her Certificate of Advanced Graduate Studies in Prosthodontics and a Master of Science in Dentistry from Boston University, Goldman School of Dental Medicine, where she was awarded the David Baraban award for academic and clinical excellence.

Dr. Otero’s passion is Dental Esthetics, as a way to combine science and art to achieve natural results that impact her patients’ lives by bringing back their self-confidence and their smile.

She focuses on full mouth esthetic reconstructions, porcelain veneers, all ceramic restorations, and implant dentistry, using the latest technology, techniques and innovative materials.

Her cases have been published in important international dental publications and she has given lectures on the latest dental techniques, internationally. She has years of experience in managing complex multi-disciplinary esthetic cases in conjunction with other specialists.

Dr. Otero has become part of the Aventura Dental Arts’ team where she has practiced esthetic dentistry at a high level in the last five years. 

She uses social media as a tool to connect with people by sharing her knowledge and clinical experience:

 

Facebook ➡️ Dra Nuria Otero

LinkedIn ➡️ Nuria Otero

Instagram ➡️ @dranuriaoteroficial

 

Subscribe to our blog!

Receive our monthly newsletter on recently published blog articles, upcoming education programs and exciting new product campaigns! 

Please be informed about our Privacy Policy.