IPS e.max® CAD

La vitrocerámica original de disilicato de litio

Solicitar más información
El original. 
El bloque número uno en todo el mundo.[1]

IPS e.max CAD marca la pauta en odontología CAD/CAM en la consulta, proporcionando restauraciones de cerámica sin metal duraderas y estéticas. Fabricado con la probada cerámica de vidrio de disilicato de litio, el bloque IPS e.max CAD ofrece una combinación ideal de una estética impresionante, alta resistencia a la flexión, gran tenacidad a la fractura y fiabilidad duradera. Clínicamente probado y respaldado por evidencia científica, IPS e.max CAD presenta propiedades bien equilibradas y orientadas a la aplicación, valoradas tanto por las consultas dentales como por los laboratorios.

Las ventajas de elegir IPS e.max® CAD

Probado tanto en la práctica como en la ciencia

Documented long-term performance: IPS e.max CAD shows an average survival rate of 95.2% over a  period of up to 15 years.[2]

Speed-crystallization in just 11:10 minutes

In combination with the Programat CS6, the crystallization firing is completed  in just 11:10 minutes[3] – for efficient chairside restorations.

High strength and stability

With a flexural strength of 530 MPa[4] and a fracture toughness of 2.11 MPa·m¹ᐟ²[5], IPS e.max CAD provides a reliable foundation for long-lasting restorations.

Esthetics for highest demands

Four levels of translucency and various A–D, Bleach and Impulse shades enable excellent shade matching and a harmonious integration into the natural surrounding dentition. 

Less tool wear

In its initial blue crystalline phase, IPS e.max CAD is especially gentle on your CAD/CAM tools, enabling fast and easy processing.

Trust starts with quality

Every block is manufactured to the highest standards, ensuring consistent performance and reliable, reproducible results.

Broad spectrum of applications

  • Crowns ( ≥ 1 mm in the anterior and posterior region; minimally-invasive crowns of 1 mm)
  • Inlays
  • Onlays (also occlusal veneers of ≥1 mm, partial crowns)
  • Veneers ( ≥ 0.4 mm)
  • 3-unit bridges up to the second premolar as the terminal abutment
  • Implant-supported hybrid single-tooth restorations (hybrid abutments, hybdrid abutment crowns)
A suitable block for every case 

Whether for the anterior or posterior region: IPS e.max CAD offers the ideal lithium disilicate block for every type of restoration.

Translucency levels for any clinical situation 

IPS e.max CAD is available in four levels of translucency and in an Impulse version. Each version has been optimized for specific clinical needs:

  • HT (High Translucency): ideal for smaller, minimally-invasive restorations such as inlays and onlays, with chameleon effect for integration into the natural surroundings.
  • MT (Medium Translucency): recommended for cases that require a higher brightness level than HT restorations and a higher level of translucency than LT restorations.
  • LT (Low Translucency): optimal for larger restorations such as posterior crowns. Combines brightness with stable shade values.
  • MO (Medium Opacity): suitable for discoloured preparations as well as for the fabrication of frameworks and abutment solutions.
  • Impulse: special version for veneers with pronounced opalescent effect; available in two versions with different levels of opalescence.

The offer varies depending on the CAD/CAM system.

Block sizes – maximum flexibility

The extensive portfolio of block sizes allows for the tailored fabrication  of restorations for any clinical situation.

  • I12: compact size, ideal for smaller restorations such as inlays and onlays
  • C14 / C16: suitable for single crowns in the anterior and posterior region

  • B32 / B40 / B40L: larger blocks for more extensive restorations, such as bridges

  • A14 / A16: especially for abutment solutions, such as hybrid abutments or hybrid abutment crowns

The offer varies depending on the CAD/CAM system.

Abutment solutions – smart implant solutions

IPS e.max CAD Abutment Solutions are special blocks with a pre-fabricated interface (S+L) and allow for the fabrication of hybrid abutments and hybrid abutment crowns. The blocks are available in two sizes (A14, A16) and two translucency levels (LT, MO).

  • Efficient fabrication of hybrid abutments and hybrid abutment crowns (screw-retained) in the anterior and posterior region for single-tooth restorations
  • Restorations with excellent accuracy of fit thanks to CAD/CAM fabrication[6]
  • High biocompatibility with oral soft tissue[7]
  • Abutment crowns offer functionality, efficiency and easy access to the screw

Why dental professionals choose IPS e.max® CAD

IPS e.max® CAD restorations in record time

Processing methods

The restoration is polished to a high gloss in its blue (pre-crystallized) state and then crystallized – entirely without additional glazing or individual characterization.

The blue restoration can be individually stained and glazed before crystallization. Three options are available:

Option A: Glazing with IPS e.max CAD Crystall./Glaze Spray, combined with speed crystallization (crystallization and glaze firing in a single step, e.g. in the Programat CS6 using the Superspeed program in just 11:10 minutes).

Option B: Staining and glazing with IPS e.max CAD Crystall./Glaze Paste/FLUO, followed by crystallization with integrated stain and glaze firing
(e.g. in the Programat CS6 using the Speed Crystallization program in 16:50 minutes).

Option C: Staining and glazing with IPS e.max CAD Crystall./Glaze Spray, followed by crystallization with integrated stain and glaze firing
(e.g. in the Programat CS6 using the Speed Crystallization program in 16:50 minutes).

After crystallization, stain and glaze firing can be applied — using either IPS e.max CAD Crystall./ or IPS Ivocolor materials.

After crystallization, the incisal area is reduced and layered with IPS e.max Ceram materials. This is followed by stain and glaze firing using IPS Ivocolor.

After crystallization, the restoration is built up using dentin and incisal materials from the IPS e.max Ceram range. The process is completed with stain and glaze firing using IPS Ivocolor.

Authorized CAD/CAM devices

The following systems have been tested and validated in close collaboration with the respective manufacturers to ensure consistent, reproducible results and reliable processing of IPS e.max CAD:

Dentsply Sirona

  • CEREC Primemill
  • CEREC MC XL
  • CEREC MC X
  • CEREC MC
  • inLab MC X5
  • inLab MC XL

Planmeca

  • PlanMill 40 S
  • PlanMill 40
  • PlanMill 30 S

Amann Girrbach

  • Ceramill Matik
  • Ceramill Matron
  • Ceramill Motion 3
  • Ceramill Motion 2
  • Ceramill Motion DRS
  • Ceramill Micro IC

vhf

  • Z4
  • N4+
  • E4

Ivoclar

  • PrograMill® PM7
  • PrograMill® PM3 / PM5
  • Zenotec® select hybrid

Clinical cases

Case 1

Conservative veneer restoration

Veneers on teeth 12–22 (#7–10) made from IPS e.max® CAD, shade A1 MT – subtle refinement with natural appearance

© Dr Kristine Aadland, USA

Case 2

Implant crown and veneers

Implant-supported crown on tooth 11 (#8) and veneers on teeth 12, 21, 22 (#7, #9, #10) made from IPS e.max® CAD, shade B1 LT.

© Dr Kristine Aadland, USA

Case 3

Masking of tetracycline discolouration

Veneers on teeth 14–24 (#5–12) made from IPS e.max® CAD, shade A2 MT – brighter smile with harmonious appearance despite intensive discolourations

© Dr Kristine Aadland, USA

Case 4

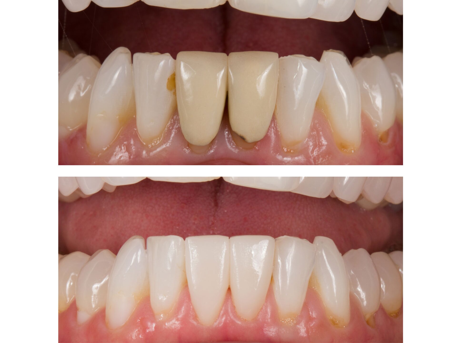
Lower anterior crowns

Renewal of crowns on teeth 31 and 41 (#24 and #25) made from IPS e.max® CAD.

© Dr Michael Skramstad, USA

Frequently asked questions about IPS e.max® CAD

IPS e.max CAD reaches a biaxial flexural strength of 530 MPa[4] after crystallization, making it suitable for crowns, veneers, inlays, onlays, and three-unit bridges up to the premolar region. In its initial blue intermediate state, the material has a reduced strength of 130 MPa, enabling faster milling and reduced tool wear. During crystallization, the restoration develops its final strength, shade, and translucency.

Both materials are based on lithium disilicate glass-ceramic, but differ in processing:

  • IPS e.max CAD is milled from pre-crystallized blocks and then crystallized in a furnace.
  • IPS e.max Press is fabricated using the press technique in the dental laboratory.

IPS e.max CAD is ideal for chairside applications and fast digital workflows, while IPS e.max Press is preferred for complex layering or highly individualized restorations.

When using the Programat® CS6, the crystallization of IPS e.max CAD restorations is completed in just 11:10 minutes, enabling single-visit and same-day dentistry with high-strength lithium disilicate restorations. With the CEREC® SpeedFire, a single crown typically takes around 14:10 minutes to crystallize. 

IPS e.max CAD is compatible with a wide range of CAD/CAM systems. It is validated for use with systems such as CEREC®, PlanMill®, PrograMill®, ceramill®, and vhf units. To ensure optimal results, please refer to our current list of authorized partner systems to confirm compatibility with your specific setup.

IPS e.max CAD restorations can be cemented adhesively, self-adhesively or convetionally, depending on the clinical situation. For optimal results, Ivoclar offers coordinated solutions: 

  • Variolink® Esthetic for adhesive cementation,
  • Speedcem® Plus for self-adhesive cementation and
  • ZirCAD® Cem for conventional cementation.