Providing indirect restorative care for patients who present to the practice with an underlying condition or whose oral environment is less than optimal for the long-term success of the case requires a thoughtful approach that ensures the best opportunity for the durability and stability of the restorations before and after treatment. This can be particularly challenging for practices like mine where most of our crown and bridge cases are delivered same day or when patients demand quick turn-around but whose treatment plan exceeds the capability of same day dentistry.

This case exemplifies how you can help idealize tissue health, reduce caries risk and minimize tooth sensitivity in cases where a one-week turn-around is necessary.

Case Report

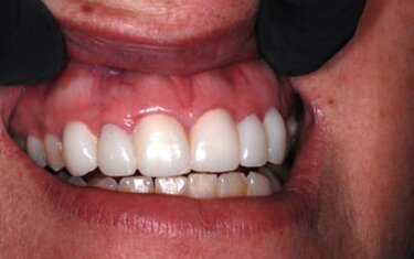
A 47-year-old female presented to my practice with two, layered zirconia bridges on teeth #6-#8 and teeth #9-#11 (Figures 1-3). A diagnostic exam revealed the existence of recurrent decay on teeth #6 and #9 and signs of moderate gingivitis. The patient expressed a desire to finalize the case within a week, which shortened the healing time between temporization and delivery of the final restorations.

Figure 1
A 47-year-old patient presented with
two, zirconia layered bridges on teeth #6-#8 and #9-#11 with recurrent caries on # 6 and #9 as well as moderate gingivitis.

The treatment proposed and accepted by the patient was to replace both bridges with two three-unit monolithic 
IPS e.max ZirCAD bridges. At the preparation appointment, the recurrent caries on teeth #6 and #9 was removed and teeth #6-#8 and #9-#11 were prepared for temporization and delivery of the final restorations. To temporarily manage the patient’s gingivitis during the intraoral scanning process, EPI braided retraction cord was placed and Viscostat hemostatic agent was applied. After scanning, the hemostatic agent was thoroughly rinsed off and the patient was temporized using LuxaTemp temporary restorations bonded with TempBond.

 

For a case like this where turnaround time for final delivery leaves less time for the gingival tissue to heal between temporization and delivery of the final restorations, I apply Cervitec Plus varnish directly around the gingival margins of the temporary restorations (Figures 4  and 5), which not only helps the gingival healing process but also addresses the patient’s chronic gingivitis. The combination of Chlorhexidine diacetate antimicrobial and Thymol anticeptic helps mitigate the formation of bacteria that promote plaque formation, gingival inflammation and caries. It also helps to desensitize hypersensitive dentin and stays active up to 14 days. Because of its low film thickness and clear color patient acceptance is high with no discoloration of tooth color after application.

Figure 4 - Temporary restoration

With less time for the gingival tissue to heal between temporization and delivery of the final restorations, I apply Cervitec Plus varnish directly around the gingival margins of the temporary restorations.

Figure 5 - Application of Cervitec

to the temporaries, applied with a micro brush, is the last set of the preparation appointment

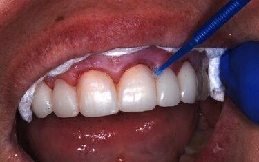
When the patient returned six days later for delivery of her IPS e.max ZirCAD bridges (Figure 6), the gingival tissue around the restorations showed marked improvement (Figures 7 and 8). The two bridges were tried in and final bonded using Variolink Esthetic® dual cure luting composite (Figures 9-11). I’ve also found that Cervitec Plus is effective in speeding up post-operative gingival healing for patients where any sort of subgingival margin preparation and/or cord packing may have been used.

Figure 6 - Final IPS e.max ZirCAD bridge

  

Figure 7 - After 6 days of temporization with the application of Cervitec Plus varnish, the gingival tissue around the restorations showed marked improvement.

  

Figure 8 - Close up of healed gingival tissue

  

For my same day patients, I apply Cervitec Plus at the consultation appointment to help prepare the gingiva for the same day preparation and delivery appointment. Not only does this provide me with the best chance of a clean preparation and successful bonding of the final restorations, but it also minimizes appointment cancellations and has increased the pre-payment option we offer for our patients. The patient is offered the opportunity to "start" the procedure with the application of a medicinal treatment of Cervitec Plus that will prepare the gingiva for final delivery day. As a result, the pre-payment is "less" of a pre-payment because we are starting the procedure at the consultation appointment. 

"Cervitec Plus has become an indispensable treatment tool in my practice."
 

Figures 9-10 below: The two IPS e.max ZirCAD bridges seated and bonded with Variolink Esthetic dual cure luting composite.

Dr. Anthony E Hatch, DDS

Dr. Anthony Hatch is an alumnus of the University of Maryland Dental School. Dr. Hatch is the former Treasurer of the Academy of CAD/CAM Dentistry and has been involved in CAD/CAM education since 2008 and CEREC Technology for over 17 years. He has started two highly successful scratch practices on the extreme opposite coasts of the United States, first in Columbia, MD and his current practice, Scripps Rock Dental, in San Diego, CA, both with full integration of CAD/CAM. Dr. Hatch has taught across North America on Anterior CEREC Esthetics, Dental Practice CAD/CAM Integration, inLab Utilization for the Dental Office and Dental Practice Management. His hobbies include Hot Rodding, Rock ‘n’ Roll and Continued Practice Growth.

Achieve high-quality esthetics. Maximize efficiency.

With our state-of-the-art product portfolio you can increase the efficiency of your filling workflow while creating beautiful smiles for your patients.
Direct Restorative Workflow
Subscribe to our blog!

Receive our monthly newsletter on recently published blog articles, upcoming education programs and exciting new product campaigns! 

Please be informed about our Privacy Policy.