第1回 SR サクラール 排列コンテスト 2021

Ivoclar Vivadent株式会社(東京都文京区 代表取締役 犬飼 清)は、健康保険適用の人工歯「SR サクラール 排列コンテスト 2021」オンライン授賞式を2021年10月7日に開催しました。SR サクラールの発売を記念して排列コンテストを実施し、40歳以下の技工士様を対象に募集した所、50名の定員枠がすぐに満員となり、全国から排列されたデンチャーが届きました。そして、審査員の佐藤幸司先生、須藤哲也先生、岩城謙二先生により上位3名と特別賞5名の計8名の方を選出して頂きました。今回は、第1回 SR サクラール 排列コンテストを受賞された8名の皆様をご紹介いたします。

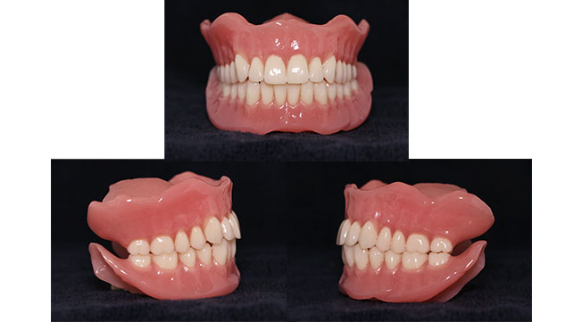
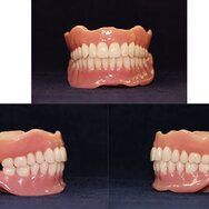
金賞受賞
入れ歯の技工所 おり鶴 
桑名 勇至 様

受賞内容 ー審査員評価ー
全体的に素晴らしい排列に仕上がっていました。とてもバランスが良く、研磨も綺麗で完璧な義歯だと感じました。歯肉のカウンツァーも大変素晴らしい仕上がりでした。
画像はこちら
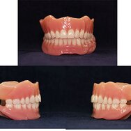
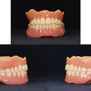
銀賞受賞
株式会社フェリーチェ 
中島 悠 様

受賞内容 ー審査員評価ー
義歯の臨床症例に対して、多くの総義歯排列を経験されている事を感じ取れる形態でした。排列位置やアーチ、歯肉形成もとても良いと思いました。
画像はこちら
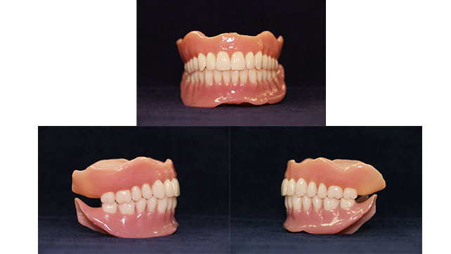
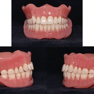
銅賞受賞
デンチャーラボラトリー リフォルテ 
紺野 あゆみ 様

受賞内容 ー審査員評価ー
全体的なバランスが良く、排列に表情が出ていました。研磨面もきれいに仕上っており、特に下顎面の研磨面形態が素晴らしいと思いました。
画像はこちら
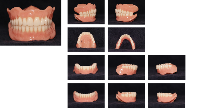
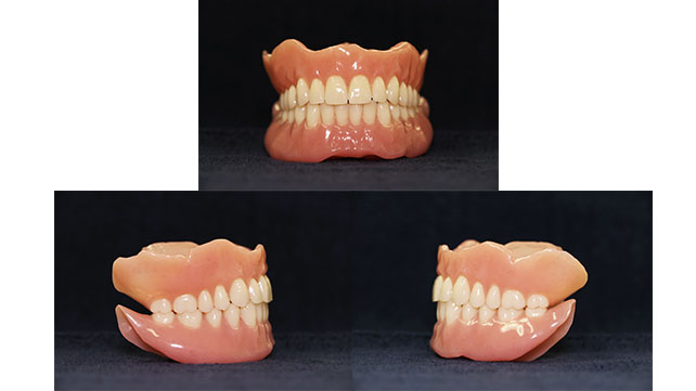
特別賞[佐藤幸司賞]  
MDLキャステティックアーツ
中沢勇太 様
受賞内容 ー審査員の評価ー
上下義歯の咬合が安定していて、排列位置のバランスもとても良いと思いました。
特別賞[岩城謙二賞]  
歯科工房えん
中原 浩介 様
受賞内容 ー審査員の評価ー
排列がとても綺麗で、アーチ、前歯の排列位置、咬合平面、歯肉形成のバランスが良いと思いました。
特別賞[須藤哲也賞]
SMBラボラトリー
浅水 健悟 様
受賞内容 ー審査員の評価ー
口腔内を熟知されていて、歯間・歯肉カウンツァーの流れがとても綺麗に表現されている義歯だと思いました。
特別賞[Ivoclar Vivadent賞]  
SY Dental Lab
須賀 靖記 様
受賞内容 ー審査員の評価ー
咬合、スマイルラインのバランスが素晴らしく、下顎の歯肉形成が印象的でした。患者さんを想定し、それに沿って義歯を作成したことも受賞の理由となりました。
特別賞[新人賞]
株式会社Dental Labor IDT  
岩城 和也 様
受賞内容 ー審査員の評価ー
排列位置が周囲の筋肉を意識していて、アーチ、バランス、咬合平面も良く、全体的に良い仕上がりです。